Have you ever wondered what threats could affect your pet bird or the wild birds you love watching? One hidden danger you might not know about is avian malaria.
It’s a disease that can quietly harm birds, sometimes without obvious signs until it’s too late. Understanding what avian malaria is, how it spreads, and what it means for your feathered friends is essential. Keep reading to discover the facts that could help you protect the birds that matter to you.
Avian Malaria Basics
Avian malaria is a disease that affects birds. It is caused by parasites that live inside red blood cells.
The disease spreads through mosquito bites. It can harm many bird species, especially in certain areas.
What Causes Avian Malaria?
Avian malaria is caused by tiny parasites called Plasmodium. These parasites live in the blood of infected birds.
Mosquitoes carry the parasites from one bird to another. When a mosquito bites a bird, it passes the parasite into the bird’s blood.
Symptoms Of Avian Malaria
Birds with avian malaria may look weak and tired. They might lose weight and have trouble flying.
Some birds show no signs, but others get very sick. The disease can cause death in some cases.
Where Is Avian Malaria Found?
Avian malaria is found in many parts of the world. It is common in warm and wet places where mosquitoes live.
- Tropical and subtropical regions
- Islands with many mosquitoes
- Areas with standing water
How Does Avian Malaria Affect Birds?
The parasite destroys red blood cells in birds. This lowers the bird’s ability to carry oxygen.
Birds may become weak and less able to fly or find food. Some species are more sensitive to the disease.
Prevention And Control
Stopping mosquito bites helps prevent avian malaria. Removing mosquito breeding sites lowers disease risk.
- Drain standing water around bird habitats
- Use mosquito nets or screens in bird enclosures
- Monitor bird health regularly

Credit: www.merckvetmanual.com
Causes Of Avian Malaria
Avian malaria is a disease that affects birds. It is caused by tiny parasites that live inside bird blood cells. These parasites spread the illness between birds.
Understanding what causes avian malaria helps protect wild and pet birds. This section explains the main causes of the disease.
Parasite Species
Avian malaria is caused by parasites called Plasmodium. These parasites live inside bird blood and damage their cells. There are different species of Plasmodium that cause the disease.
- Plasmodium relictum is the most common parasite causing avian malaria.
- Other species include Plasmodium elongatum and Plasmodium juxtanucleare.
- Each parasite species affects birds in different ways.
Transmission Vectors
Birds get avian malaria from mosquito bites. Mosquitoes carry the parasites from one bird to another. Not all mosquitoes spread the disease.
- Culex mosquitoes are the main carriers of avian malaria parasites.
- Mansonia and Aedes mosquitoes can also spread the disease.
- Only female mosquitoes transmit the parasites when they bite birds.
Affected Bird Species
Many bird species can get avian malaria. Some are more vulnerable than others. The disease is common in wild and captive birds.
- Songbirds like sparrows and finches often carry the parasite.
- Tropical birds are at higher risk due to many mosquitoes.
- Native birds on islands may suffer more from the disease.
Symptoms In Birds
Avian malaria affects many bird species worldwide. It is caused by parasites that infect the bird's blood.
Recognizing the symptoms early helps in managing the disease and protecting bird health.
Physical Signs
Birds infected with avian malaria often show visible physical symptoms. These include weakness, pale feathers, and weight loss.
- Feathers appear dull or ruffled
- Bird loses weight quickly
- Pale or swollen comb and wattles
- Breathing becomes labored
- Swollen abdomen due to organ enlargement
Behavioral Changes
Infected birds may behave differently from healthy ones. These changes can be subtle or obvious.
| Behavior | Description |
| Lethargy | Birds rest more and move less than usual |
| Loss of Appetite | Eating much less or refusing food |
| Isolation | Birds stay away from the flock |
| Unsteady Movements | Difficulty perching or flying |
Long-term Effects
Avian malaria can cause serious health problems if left untreated. Birds may suffer lasting damage.
- Chronic weakness and fatigue
- Permanent organ damage, especially to the liver and spleen
- Reduced lifespan
- Lowered ability to reproduce
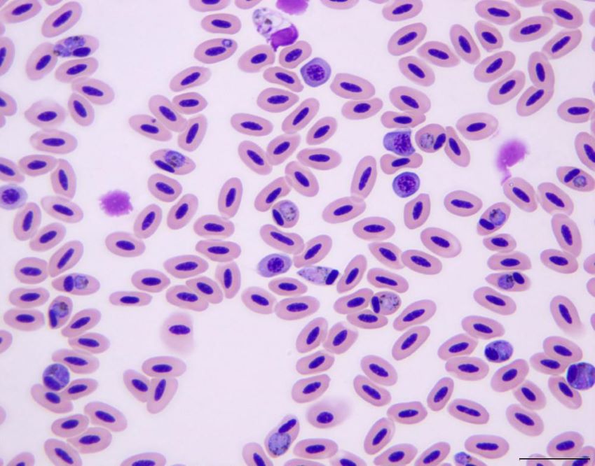
Diagnosis Methods
Avian malaria is a disease that affects birds. Detecting it early helps protect wild and pet birds.
There are several ways to find out if a bird has avian malaria. These include lab tests and field checks.
Laboratory Tests
Laboratory tests use blood samples to find malaria parasites. These tests are accurate and reliable.
Common lab tests include microscopic examination and PCR. Microscopic tests look for parasites in blood smears.
- Microscopic examination shows parasite shapes in blood
- PCR detects parasite DNA for precise results
- Serology tests measure antibodies to the parasite
Field Observation
Field observation involves watching birds for signs of illness. It helps find sick birds quickly.
Look for symptoms like tiredness, weight loss, or unusual behavior. These signs may suggest avian malaria.
- Check for pale or yellowish skin
- Observe weak or slow movements
- Note if birds avoid flying or eating
Challenges In Detection
Detecting avian malaria can be hard. Birds may not show clear signs early on.
Parasite levels may be low, making lab tests difficult. Field signs may look like other diseases.
- Parasites can hide in bird tissues
- Symptoms are similar to other bird illnesses
- Testing needs special tools and skills
Prevention Strategies
Avian malaria is a disease that affects birds. Preventing it helps protect bird populations and ecosystems.
Effective prevention includes managing habitats, controlling mosquitoes, and using vaccines or treatments.
Habitat Management
Changing the environment can reduce places where mosquitoes breed. Removing standing water stops mosquito growth.
Planting fewer water-loving plants near bird areas helps lower mosquito numbers. Keeping habitats clean is key.
- Drain stagnant water
- Clear debris from wetlands
- Maintain proper water flow
- Limit dense vegetation near bird nests
Mosquito Control
Reducing mosquito populations lowers the chance of avian malaria spreading. Use safe insecticides where needed.
Introduce natural mosquito predators like fish. Use mosquito traps to catch and kill adult mosquitoes.
- Apply larvicides to water bodies
- Use mosquito nets around bird cages
- Encourage natural predators such as dragonflies
- Install mosquito traps in high-risk zones
Vaccination And Treatment
Scientists are working on vaccines to protect birds from avian malaria. Vaccines can boost birds' immune systems.
Treatment with anti-malarial drugs helps infected birds recover. Early detection improves treatment success.
- Vaccinate birds in high-risk areas
- Use medications prescribed by veterinarians
- Monitor bird health regularly
- Isolate infected birds to stop disease spread

Credit: www.vet-ebooks.com
Impact On Bird Populations
Avian malaria is a disease caused by parasites that affect many bird species. It spreads through mosquito bites and can harm bird health.
This disease can reduce bird numbers and change how birds live in their habitats.
Wildlife Conservation
Avian malaria causes serious problems for wildlife conservation efforts. Some bird species face higher risks of decline or extinction due to this illness.
- Loss of rare or endangered birds reduces biodiversity.
- Sick birds may not reproduce well, lowering population growth.
- Conservation programs need to monitor and manage disease spread.
- Protecting bird habitats helps reduce contact with infected mosquitoes.
Ecosystem Effects
Birds play key roles in ecosystems. Avian malaria can disrupt these roles and affect ecosystem health.
| Role of Birds | Effect of Avian Malaria |
|---|---|
| Pollination | Reduced bird numbers lower pollination rates. |
| Seed Dispersal | Fewer birds spread seeds, affecting plant growth. |
| Pest Control | Decline in insect-eating birds leads to more pests. |
| Food Web Balance | Changes in bird populations disrupt predator-prey balance. |

Credit: parasitesandvectors.biomedcentral.com
Frequently Asked Questions
What Causes Avian Malaria In Birds?
Avian malaria is caused by Plasmodium parasites transmitted through mosquito bites. These parasites infect birds' blood cells, disrupting oxygen transport and causing illness.
How Does Avian Malaria Affect Bird Populations?
Avian malaria weakens birds by causing anemia and organ damage. It can lead to reduced survival rates and threaten vulnerable bird species.
Can Avian Malaria Spread To Humans Or Pets?
No, avian malaria is species-specific. It only affects birds and does not infect humans or common household pets.
What Are Common Symptoms Of Avian Malaria?
Infected birds may show lethargy, weight loss, difficulty breathing, and pale combs. Symptoms vary depending on species and infection severity.
Conclusion
Avian malaria affects birds worldwide. It threatens their health and survival. Understanding this disease helps protect bird populations. Researchers work hard to find solutions. Simple actions can make a difference. Protecting habitats and reducing mosquito breeding grounds are crucial. Education on avian malaria increases awareness.
Everyone can contribute to conservation efforts. Together, we can help our feathered friends thrive. Awareness and action are key. Let's safeguard our birds for future generations.



